


Павел Николаевич
В 2009 году окончил Санкт-Петербургский государственный медицинский университет им. академика И. П. Павлова по специальности «Стоматология».
В 2012 году окончил клиническую ординатуру по специальности «Ортодонтия» в Санкт-Петербургском государственном медицинском университете им. академика И. П. Павлова под руководством доцента Шулькиной Н.М.
Ортодонтия 21.06.2022
Участник ежегодного Съезда ортодонтов, Международной Восточноевропейской Конференции, ежегодных Ортодонтических симпозиумов «Forestadent» и ежегодных конференций клиники ДентИдеал.
Активно ведет научно-просветительскую деятельность в социальных сетях, где делится опытом и знаниями с коллегами. Подготовил курс по функциональной стоматологии, в основу которого легли принципы нейромышечного подхода - "Ортодонтическое лечение в концепции современной функциональной стоматологии".
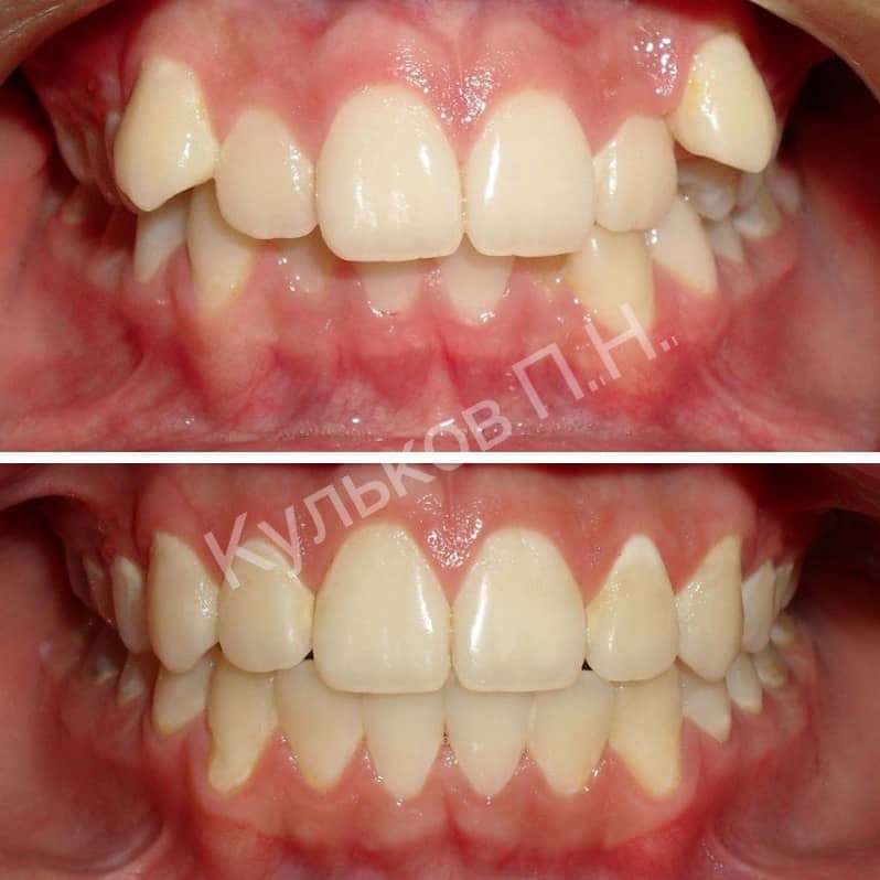
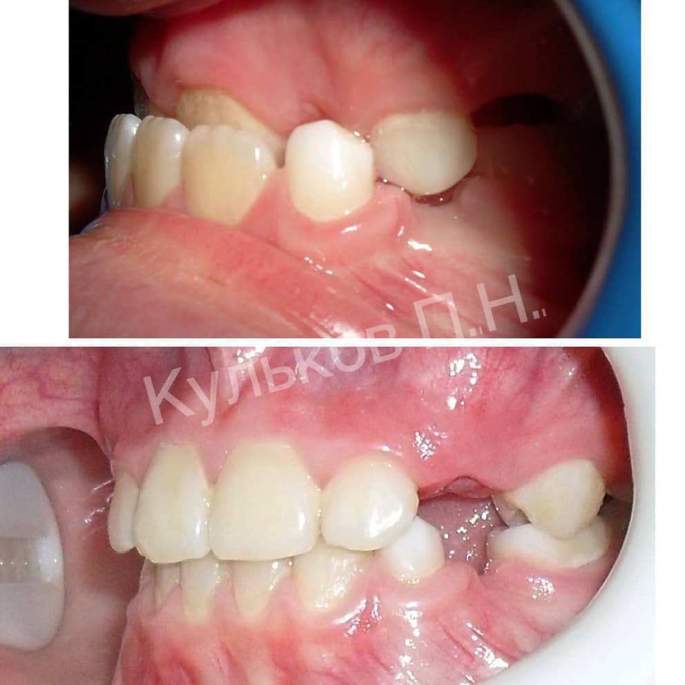
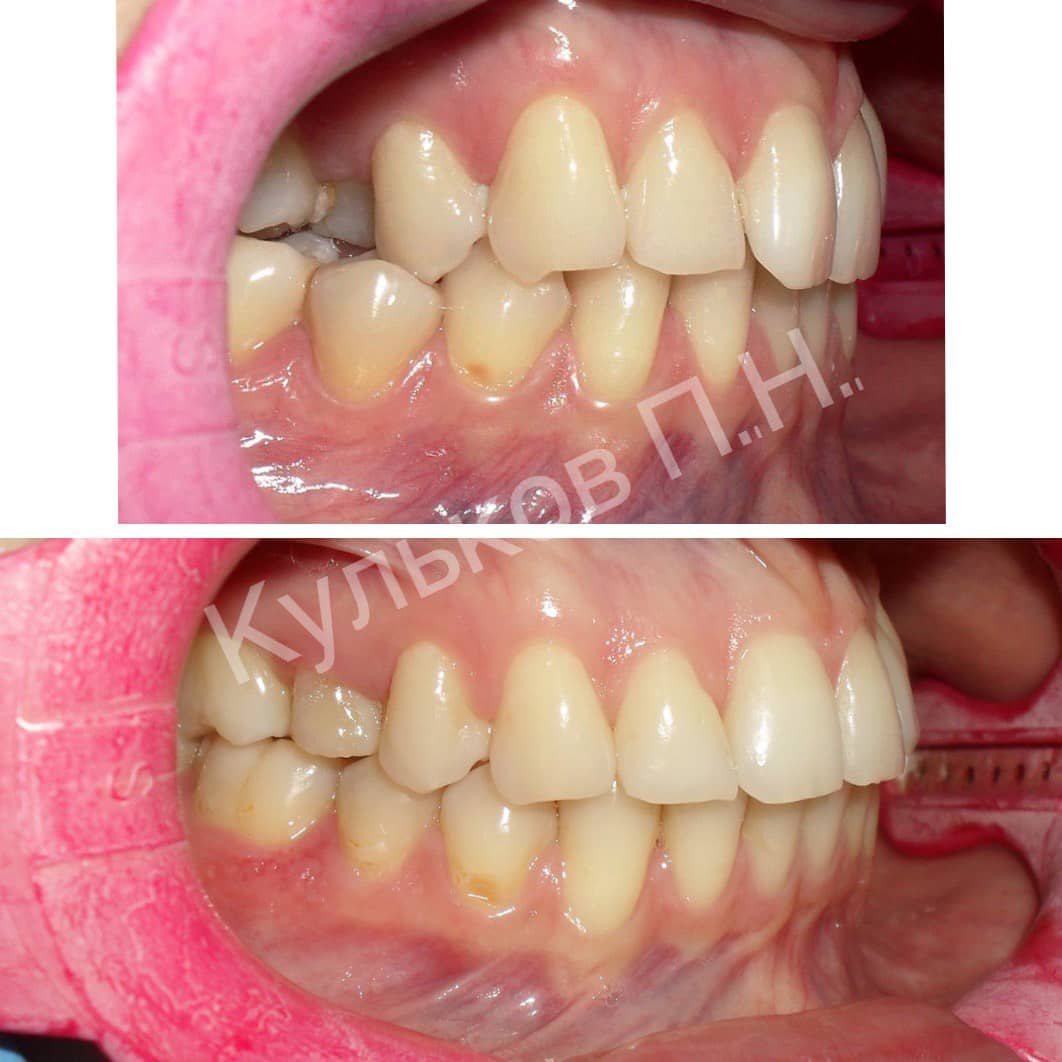
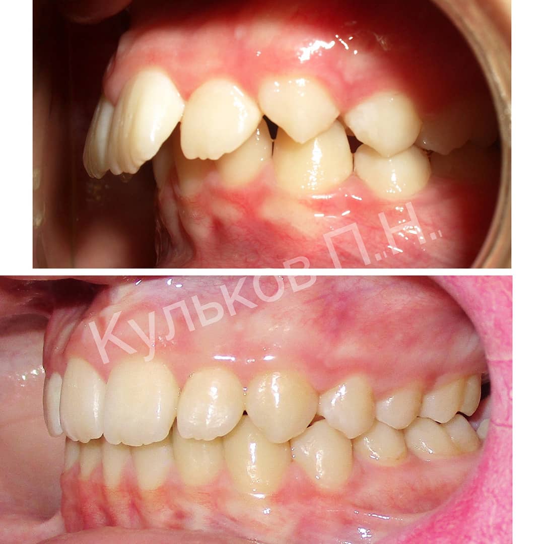
Результат лечения до/после на брекет-системе
Врач: Кульков Павел Николаевич
Пациентка обратилась с жалобами на:
- эстетику улыбки,
- торчащий 13 зуб,
- затруднения при откусывании пищи.
Диагноз перед началом лечения:
- прямой с тенденцией к мезиальному прикус,
- тесное положение зубов,
- дистопия 13 клыка,
- несовпадение средних линий верхней и нижней челюстей,
- кариес-дефект 24 зуба.
Лечение:
- удаление 18 зуба,
- частичная брекет-система (minidiamond) на верхнюю челюсть с «дегейнером» справа для последовательной дистализации 17, 16, 15, 14 зубов,
- брекет-система на нижнюю челюсть,
- разобщение,
- сепарация на нижнюю челюсть,
- ношение межчелюстных тяг.
Срок лечения составил 25 месяцев.
Композитная реставрация 24 зуба выполнена в другой клинике.
Ретенционные аппараты после снятия брекет-системы: 2 несъемных ретейнера и 2 капы на ночь.
В результате лечения:
- устранен патологический прямой прикус,
- нормализована функция жевания (созданы плотные межзубные контакты),
- сопоставлены средние линии на верхней и нижней челюстях,
- устранена скученность зубов,
- значительно улучшена эстетика улыбки и поддержка мягких тканей лица.
Пациентка обратилась с жалобами на:
- эстетику улыбки,
- торчащий 13 зуб,
- затруднения при откусывании пищи.
Диагноз перед началом лечения:
- прямой с тенденцией к мезиальному прикус,
- тесное положение зубов,
- дистопия 13 клыка,
- несовпадение средних линий верхней и нижней челюстей,
- кариес-дефект 24 зуба.
Лечение:
- удаление 18 зуба,
- частичная брекет-система (minidiamond) на верхнюю челюсть с «дегейнером» справа для последовательной дистализации 17, 16, 15, 14 зубов,
- брекет-система на нижнюю челюсть,
- разобщение,
- сепарация на нижнюю челюсть,
- ношение межчелюстных тяг.
Срок лечения составил 25 месяцев.
Композитная реставрация 24 зуба выполнена в другой клинике.
Ретенционные аппараты после снятия брекет-системы: 2 несъемных ретейнера и 2 капы на ночь.
В результате лечения:
- устранен патологический прямой прикус,
- нормализована функция жевания (созданы плотные межзубные контакты),
- сопоставлены средние линии на верхней и нижней челюстях,
- устранена скученность зубов,
- значительно улучшена эстетика улыбки и поддержка мягких тканей лица.
Пациент 13 лет.
Врач: Кульков Павел Николаевич
Диагноз: глубокий дистальный прикус, тесное положение зубов на обеих челюстях, дистопия 13, 23 зубов.
Лечение: брекет-система, удаление 15, 25 зубов.
Срок лечения: 22 месяца.
Пациент 8 лет.
Врач: Кульков Павел Николаевич
Диагноз: сменный прикус, мезиальный прикус с глубоким обратным резцовым перекрытием. Ранняя потеря молочных зубов.
Лечение: разобщающая пластинка на нижнюю челюсть.
Срок ношения: 8 месяцев.
Пациент 25 лет.
Врач: Кульков Павел Николаевич
Диагноз: правосторонний перекрёстный буккальный прикус, тесное положение зубов на обеих челюстях, небное положение 15, 22 зубов, скол эмали 32 зуба.
Лечение: брекет-система, удаление 18, 28, 38 зубов.
Срок лечения: 26 месяцев.
Пациент 13 лет.
Врач: Кульков Павел Николаевич
Диагноз: сменный прикус, глубокий дистальный травмирующий прикус.
Лечение: брекет-система, межчелюстная тяга.
Срок лечения: 23 месяца.


















































