Это раздел стоматологии, который занимается исправлением прикуса и выравниванием зубов. Однако дело не только в эстетике. Правильный прикус и ровные зубы - это залог здоровья всей ротовой полости, потому что правильный прикус помогает избежать многих проблем: от кариеса до заболеваний десен и потери зубов. Ортодонты не просто выпрямляют зубы, они заботятся о том, чтобы ваша улыбка была:
Пациенты чаще всего приходят к ортодонту с такими жалобами, которые связаны как с функциональными нарушениями, так и с эстетическим дискомфортом, влияющим на качество их жизни.
Мы стремимся сделать ортодонтическое лечение максимально комфортным и эффективным. Почему выбирают нас?
(обработка результатов диагностики с компьютерным моделированием этапов и результата лечения)
Выбор брекетов — важный шаг на пути к ровным зубам. Мы предлагаем несколько популярных и эффективных систем.

- Эти брекеты прозрачные и имеют миниатюрный размер, что делает их менее заметными на зубах.
- Благодаря своей форме и гладким краям, они минимально травмируют слизистую оболочку рта.
- Подходят для тех, кто хочет выровнять зубы аккуратно и почти незаметно.

- Самолигирующая система, которая сокращает время лечения и количество визитов к врачу.
- Брекеты Damon уменьшают давление на зубы, что делает лечение комфортным и менее болезненным.
- Отлично подходят для тех, кто ценит скорость и хочет достичь результата быстрее.

- Металлические брекеты с прочной конструкцией и точной фиксацией.
- Они обеспечивают высокую эффективность и подходят для исправления даже сложных случаев.
- Идеальный выбор для тех, кто ценит проверенные временем решения.

- Самолигирующая металлическая брекет-система позволяет сократить время лечения и количество визитов к врачу.
- Паз брекета шире, чем у брекетов Damon, что позволяет закреплять дугу более гибко, а также отказаться от использования дополнительных элементов: пружинок, кнопок и тяг.
- За счет формы и площади, на которую оказывается воздействие, брекеты более эффективны в лечении.
Ортодонтия — это не просто про красоту, это про здоровье, комфорт и уверенность в себе. Наши специалисты готовы помочь вам на этом пути, а современное оборудование и индивидуальный подход сделают процесс приятным и результативным. Начните путь к идеальной улыбке уже сегодня!
Позвонить в любую нашу клинику и записаться на консультацию к врачу-ортодонту.
Где можно узнать цены на брекет-системы?
Стоимость ортодонтического лечения складывается из:
- стоимости диагностики и рентгеновских снимков;
- стоимости брекет-системы;
- стоимости лечения (стоимость ежемесячных посещений для классических брекет-систем или курсовая стоимость лечения для самолигирующих);
- стоимости снятия системы;
- стоимости ретенционных аппаратов.
С прейскурантом на ортодонтические услуги можно ознакомиться в разделе Цены.
Более подробную информацию вы сможете получить после проведения диагностики.
Диагностика, как правило, состоит из двух посещений.
Первое посещение:
- заполнение документации, сбор анамнеза;
- слепки и модели зубных рядов;
- фотометрия - анализ фотографий;
- направление на необходимые рентгенологические исследования.
Второе посещение:
- обсуждение с врачом результатов измерения моделей зубных рядов и рентгенологических снимков;
- определение плана лечения;
- выбор ортодонтического аппарата.
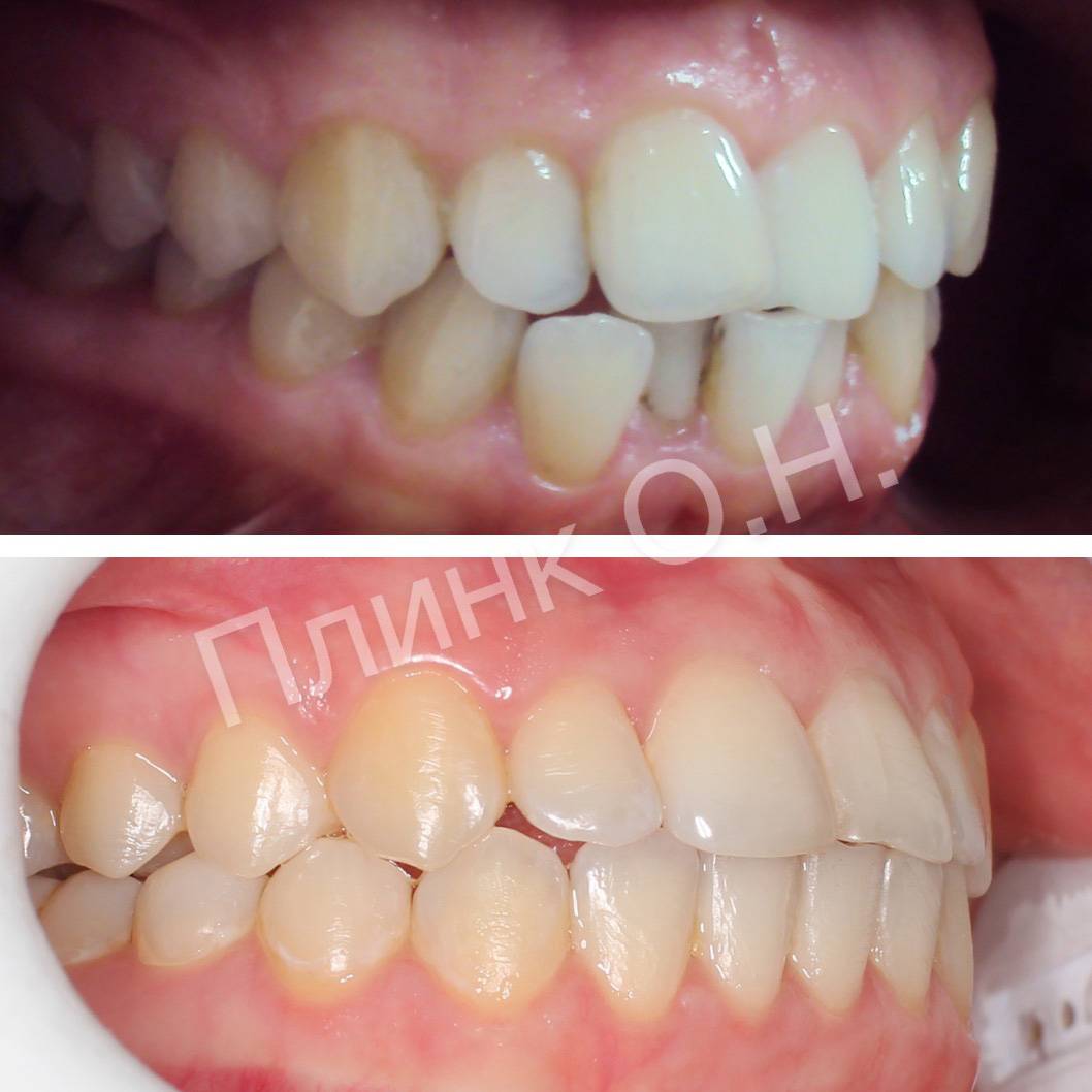
Пациент 30 лет.
Врач: Плинк Ольга Николаевна
Диагноз: мезиальный прикус, скученность зубов на верхней и нижней челюстях.
Лечение: брекет-система на две челюсти с удалением 18, 28, 38 и 48 зубов.
Срок лечения: 2 года и 2 месяца.
Пациент 7 лет.
Врач: Какабадзе Ираклий Тариелович
Диагноз: дистальный глубокий прикус, скученность зубов.
Лечение: аппарат Френкеля 2 тип.
Срок лечения: 8 месяцев
Лечение: аппарат Френкеля 2 тип.
Срок лечения: 8 месяцев
Пациент 14 лет.
Врач: Комарова Ирина Валерьевна
Диагноз: глубокий дистальный прикус. Адентия 12 и 22 зубов.
Лечение: брекет-система, без протезирования. Коррекция формы 13 и 23 зубов терапевтически - пломбировочным материалом.
Срок лечения: 2 года и 8 месяцев
Лечение: брекет-система, без протезирования. Коррекция формы 13 и 23 зубов терапевтически - пломбировочным материалом.
Срок лечения: 2 года и 8 месяцев



Открыть картуКарта
ДентИдеал на Кирочной (1 этаж)
Ул. Кирочная, д. 48.
Чернышевская
5 минутДентИдеал на Кирочной (1 этаж)
Ул. Кирочная, д. 48.
Чернышевская
5 минутАдрес: Ул. Кирочная, д. 48.
Телефон: (812) 317-05-15
Режим работы: понедельник - пятница: 9.00-20.00, суббота: 9.00-14.00 (время работы клиник может изменяться, уточняйте информацию по телефону)
Почтовый адрес: 191123, г. Санкт-Петербург, ул. Потемкинская, д. 13/48, лит. А, пом. 9-Н
5 минут пешком от метро Чернышевская.
Выйти налево из метро Чернышевская, повернуть налево на Кирочную улицу и идти прямо в сторону Таврического сада до дома 48 (не доходя 1 дом до перекрестка с Потемкинской улицей).
Ортодонты: Берензон И.Г. Дунаевская И.И. Жаркова Л.А. Кульков П.Н. Лихачева Т.А. Ляшко Е.П. Сидоренко Э.Е. Смирнова В.О.
Терапевты: Агеевец М.С. Евневич М.А. Нечаева Н.Ю. Ушакова К.О. Халафова Т.Ю.
Хирург: Вишнёва (Пахомова) Н.В.
Ортопеды-имплантологи: Бабинцев В.В. Мамедов А.
Пародонтолог: Руденко Е.А.
Открыть картуКарта
ДентИдеал на Кирочной (2 этаж)
Ул. Кирочная, д. 48.
Чернышевская
5 минутДентИдеал на Кирочной (2 этаж)
Ул. Кирочная, д. 48.
Чернышевская
5 минутАдрес: Ул. Кирочная, д. 48.
Телефон: (812) 317-05-15
Режим работы: понедельник - пятница: 9.00-20.00, суббота: 9.00-14.00 (время работы клиник может изменяться, уточняйте информацию по телефону)
Почтовый адрес: 191123, г. Санкт-Петербург, ул. Потемкинская, д. 13/48, лит. А, пом. 9-Н
5 минут пешком от метро Чернышевская.
Выйти налево из метро Чернышевская, повернуть налево на Кирочную улицу и идти прямо в сторону Таврического сада до дома 48 (не доходя 1 дом до перекрестка с Потемкинской улицей). Вход через клинику "ДентИдеал на Кирочной (1 этаж)" на 2-й этаж.
Ортодонты: Какабадзе Н.И. Плинк О.Н.
Терапевты: Капранчик Л.И. Халафова Т.Ю.
Открыть картуКарта
ДентИдеал на Басковом
Басков пер., д. 18
Площадь Восстания
15 минутЧернышевская
10 минутДентИдеал на Басковом
Басков пер., д. 18
Площадь Восстания
15 минутЧернышевская
10 минутАдрес: Басков пер., д. 18
Телефон: (812) 317-05-15
Режим работы: понедельник - пятница: 9.00-20.00, суббота: 9.00-14.00 (время работы клиник может изменяться, уточняйте информацию по телефону)
Почтовый адрес: 191014, г. Санкт-Петербург, Басков пер., д. 18, лит. А, пом. 2-Н
15 минут пешком от метро площадь Восстания.
Выйти из метро на ул. Восстания и идти по правой стороне в сторону Кирочной ул (направо от выхода из метро). Дойти до Баскова пер. и на перекрестке дважды перейти через дорогу (сначала через ул. Восстания, затем через Басков пер.), пойти налево (по правой стороне) в сторону ул. Маяковского до второго дома от угла с ул. Восстания.
10 минут пешком от метро Чернышевская.
Выйти из метро Чернышевская, перейти через Кирочную ул. и идти по ул. Восстания (по правой стороне) в направлении Невского пр. до Баскова пер. На Басковом пер. повернуть направо и идти (по правой стороне) в сторону ул. Маяковского до второго дома от угла с ул. Восстания.
Ортодонты: Какабадзе И.Т. Лихачева Т.А. Мартынов И.В.
Терапевты: Колобова Н.М. Кузьмина Д.А. Ушакова К.О. Язар М.В.
Уважаемые пациенты! С точки зрения вашего комфорта в плане доступности рекомендуем вам обратиться в ближайшую клинику «ДентИдеал на Кирочной (1 этаж)», расположенную по адресу: м. пл.Восстания, Кирочная ул., д.48, тел.: 273-02-90. Здесь также работают высококвалифицированные врачи-стоматологи, которые окажут вам качественные услуги, аналогичные услугам клиники «ДентИдеал на Басковом». Обращаем ваше внимание, что необходима предварительная запись по телефону. Также вы можете обратиться за помощью в любую из клиник «ДентИдеал».
Открыть картуКарта
ДентИдеал на Подъездном
Подъездной пер., д. 3, лит. А.
Пушкинская
5 минутЗвенигородская
10 минутДентИдеал на Подъездном
Подъездной пер., д. 3, лит. А.
Пушкинская
5 минутЗвенигородская
10 минутАдрес: Подъездной пер., д. 3, лит. А.
Телефон: (812) 317-05-15
Режим работы: понедельник - пятница: 9.00-20.00, суббота: 9.00-14.00 (время работы клиник может изменяться, уточняйте информацию по телефону)
Почтовый адрес: 198013, г. Санкт-Петербург, Подъездной пер., д. 3, лит. Б, пом. 5-н
5 минут пешком от метро Пушкинская.
Выйти направо из метро Пушкинская, повернуть направо на Подъездной переулок и идти прямо в сторону Обводного канала до дома 3, лит. А (дом стоит в углублении).
10 минут пешком от метро Звенигородская.
Выйти из метро Звенигородская и идти налево по Загородному проспекту до Подъездного переулка, перейти через дорогу и по правой стороне Подъездного переулка идти прямо в сторону Обводного канала до дома 3, лит. А (дом стоит в углублении). Также сократить дорогу можно, прогулявшись через Сад Театра Юных Зрителей.
Ортодонты: Комарова И.В. Усачева Г.А. Чеботарева П.С.
Терапевты: Злобина А.С. Иус Н.Н.
Ортопед-имплантолог: Мамедов А.
Хирург: Щурова А.А.
Открыть картуКарта
ДентИдеал на Звенигородской
Звенигородская ул., д. 14
Звенигородская
5 минутПушкинская
10 минутДентИдеал на Звенигородской
Звенигородская ул., д. 14
Звенигородская
5 минутПушкинская
10 минутАдрес: Звенигородская ул., д. 14
Телефон: (812) 317-05-15
Режим работы: понедельник - пятница: 9.00-20.00, суббота: 9.00-14.00 (время работы клиник может изменяться, уточняйте информацию по телефону)
Почтовый адрес: 191119, г. Санкт-Петербург, ул. Правды, д. 22, лит. А, пом. 27-Н
5 минут пешком от метро Звенигородская.
Выйти направо из метро Звенигородская и идти по Звенигородской улице до регулируемого пешеходного перехода на Т-образном перекрестке с улицей Правды. На светофоре за улицей Правды перейти через дорогу и по левой стороне Звенигородской ул. пройти до дома 14.
10 минут пешком от метро Пушкинская.
Выйти направо из метро Пушкинская и идти прямо по Загородному проспекту до перекрестка со Звенигородской улицей. Перейти через дорогу и по левой стороне Звенигородской улицы идти до дома 14.
20 минут пешком от метро Владимирская/Достоевская.
Выйти налево из метро Владимирская, повернуть налево на Большую Московскую улицу и идти по ней прямо до улицы Правды (ул. Б.Московская переходит в ул. Правды). Продолжить движение прямо по улице Правды до Т-образного перекрестка со Звенигородской улицей. Повернуть налево на Звенигородскую улицу и идти до дома 14 по левой стороне.
Ортодонты: Патрогина И.В. Хвоинская Н.С.
Терапевты: Алампиева Е.В. Шляхтова Н.Н. Язар М.В.
Уважаемые пациенты! С точки зрения вашего комфорта в плане доступности рекомендуем вам обратиться в ближайшую клинику «ДентИдеал на Подъездном», расположенную по адресу: м.Пушкинская, Подъездной пер., д.3А, тел.: 712-42-95. Здесь также работают высококвалифицированные врачи-стоматологи, которые окажут вам качественные услуги, аналогичные услугам клиники «ДентИдеал на Звенигородской». Обращаем ваше внимание, что необходима предварительная запись по телефону. Также вы можете обратиться за помощью в любую из клиник «ДентИдеал».
Открыть картуКарта
ДентИдеал Озерки
Пр. Луначарского, д. 13/1
Озерки
10 минутПроспект Просвещения
20 минутДентИдеал Озерки
Пр. Луначарского, д. 13/1
Озерки
10 минутПроспект Просвещения
20 минутАдрес: Пр. Луначарского, д. 13, корп. 1 (жилой комплекс «Поэма у трех озер»)
Телефон: (812) 317-05-15
Режим работы: понедельник - пятница: 9.00-20.00, суббота: 9.00-14.00 (время работы клиник может изменяться, уточняйте информацию по телефону)
Почтовый адрес: 194354, г. Санкт-Петербург, пр. Луначарского, д. 13, корп. 1, лит. А, пом. 37-Н
10 минут пешком от метро Озерки.
Выйти из метро Озерки, перейти через дорогу проспект Энгельса и повернуть налево. Идти прямо по проспекту Энгельса в сторону проспекта Луначарского до жилого комплекса "Поэма у трех озер". Не доходя до проспекта Луначарского свернуть во двор ЖК "Поэма у трех озер" и двигаясь правее дойти до двора дома 13, корп. 1.
5 минут на машине от метро Озерки.
Двигаться по проспекту Энгельса в сторону проспекта Луначарского, повернуть направо на проспект Луначарского, затем повернуть направо на ул. Есенина. В конце первого дома (пр. Луначарского, д.15, корп.1) свернуть во двор и, держась правее, запарковаться.
На общественном транспорте.
От метро Озерки трамвай - 9, 20, 58, 21 и автобус - 86, 80, 123. От метро Проспект Просвещения трамвай - 21, 55. Остановка - ЖК "Поэма у трех озер".
Ортодонты: Кульков П.Н. Мартынов И.В. Усачева Г.А. Чеботарева П.С.
Пародонтолог: Руденко Е.А.
Терапевты: Евневич М.А. Ушакова К.О.










