- Главная
- Информация
- Публикации
- Метод сплинт-терапии - оценка результатов лечения
Фадеев Р.А., Ронкин К.З., Мартынов И.В. (СПбИНСТОМ, НовГУ им. Ярослава Мудрого, ПСПбГМУ им. акад. И.П. Павлова, СПбГУ).
Резюме
В статье приводятся результаты лечения 20 взрослых пациентов с зубочелюстными аномалиями, осложненными дисфункцией ВНЧС и/или парафункциями жевательных мышц. С целью определения положения нижней челюсти применялась ТЭНС-терапия (транскожная электронейростимуляция). На основании результатов ТЭНС-терапии каждому пациенту была выполнена разобщающая зубные ряды каппа (сплинт), которая использовалась на протяжении 3-х месяцев. Терапевтический эффект был положительным в 85% клинических наблюдениях. Следующим этапом планируется модификация окклюзии.
Ключевые слова: зубочелюстные аномалии, дисфункции ВНЧС, парафункции жевательных мышц, ТЭНС-терапия, миорелаксация, сплинт-терапия.
Введение
Проблема лечения зубочелюстных аномалий, осложненных дисфункцией височно-нижнечелюстных суставов (ВНЧС) и парафункцией жевательных мышц, является актуальной, поскольку требует особого подхода к диагностике и лечебным мероприятиям [1-19]. Сегодня до конца не разработан алгоритм действий врача-ортодонта в подобной клинической ситуации [8, 11-13].
В целом ряде случаев нижняя челюсть занимает вынужденное положение, которое может являться пусковым механизмом возникновения парафункций жевательных мышц и дисфункции ВНЧС [1, 5, 8, 9, 11, 13, 14].
Для определения оптимального положения нижней челюсти рядом специалистов рекомендуется использовать метод транскожной электронейростимуляции (ТЭНС) ветвей тройничного, лицевого и добавочного нервов [14, 16]. Подобные методики реабилитации мышц используются в неврологии и спортивной медицине [4, 16].
После физиотерапевтического воздействия, направленного на миорелаксацию жевательных и шейных мышц, регистрируют комфортное положение нижней челюсти, и затем в артикуляторе изготавливают каппу (сплинт) с выраженным окклюзионным рельефом, передним клыково-резцовым и боковым клыковым ведением, которая закрепляет выявленное положение нижней челюсти [13, 14].
Цель данного исследования — изучить терапевтический эффект использования разобщающей зубные ряды каппы (сплинта), изготовленной после выполнения ТЭНС-терапии, у группы пациентов с дисфункцией ВНЧС и парафункциями жевательных мышц.
Клинический контингент и методы исследования:
Было обследовано 20 пациентов (16 женщин и 4 мужчин) в возрасте от 18 до 45 лет. Средний возраст обследованных составил 32+4,5 года. У всех обследованных присутствовали жалобы и симптомы, характерные для дисфункции ВНЧС и парафункций жевательных мышц.
Транскожная электронейростимуляция проводилась методом наложения электродов на область наименее глубокого залегания ветвей тройничного, лицевого и добавочного нервов. Частота электрических импульсов составляла 1 раз в 1,5 секунды. Время воздействия — 60 минут (Рис.1a, b).

Рис. 1. а — миомонитор J-5, б — вариант расположения электродов при проведении транскожной электронейростимуляции (ТЭНС).
По результатам ТЭНС изготавливалась разобщающая зубные ряды каппа для постоянного использования, исключая время приема пищи и гигиенических мероприятий (Рис. 2,3).

Рис.2. Разобщающая каппа, вид с правой (а) и левой (б) сторон.

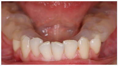
Рис. 3. Разобщающая каппа, приоткрытый рот.
Для каждого пациента выделялась доминирующая жалоба из перечня краниомандибулярных проявлений. В дальнейшем отслеживалась динамика изменений этой жалобы по субъективной шкале оценки, проводимой самим пациентом. Первоначальный уровень основной жалобы принимался за 100%, затем производилась фиксация выраженности этого показателя через 1,5 и 3 месяца после начала лечения по оценке пациента в процентах относительно начального значения.
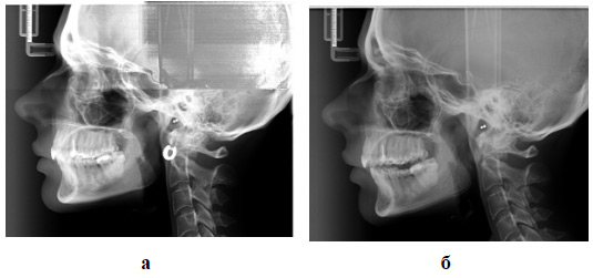
Проводилось рентгенологическое исследование — боковые ТРГ до начала лечения и через 3 месяца после его начала (Рис.4 а, б).

Рис.4. а — боковая телерентгенограмма до начала лечения, б — боковая телерентгенограмма с каппой спустя 3 месяца от начала лечения.
Сравнивались угловые и линейные показатели, которые описывают положение нижней челюсти в вертикальном и сагиттальном направлениях: Pm/Pb, s-n-spm, sna-me (Рис. 5, 6, 7).

Рис. 5. Угол между базальной плоскостью и плоскостью основания нижней челюсти(Pm/Pb).

Рис. 6. Расстояние между точками «sna» и «me».

Рис. 7. Угол между плоскостью основания черепа и линией «n-spm».
При оценке изменений параметров ТРГ в процессе лечения проводилось сравнение изучаемых величин с показателями анатомической нормы. Для расчета общего усредненного отклонения нижней челюсти по трем параметрам от своего начального положения использовался индекс изменения параметра в процентах относительно своего первоначального значения, что позволило объединить угловые и линейные показатели в одной системе расчета.
Проводился также анализ субъективной оценки результатов лечения самим пациентом за период 3 месяца от начала лечения. Для этого пациенту в конце отчетного периода предлагалась следующая шкала оценки: (0) — без изменений, (-1) — ухудшение, (+1) — незначительное улучшение, (+2) — улучшение, (+3) — значительное улучшение.
Результаты исследования и их обсуждение
По результатам анализа боковых ТРГ до лечения спустя 3 месяца от начала использования каппы, было установлено, что нижняя челюсть изменила свое пространственное положение по всем трем изучаемым параметрам в среднем на 6,2% от первоначальных показателей (Рис. 8).

Рис. 8. Усредненные показатели отклонения нижней челюсти от своего начального положения по трем параметрам ТРГ.
Анализ параметра sna-me показал, что после проведенного лечения число пациентов, попавших в «зону анатомической нормы» выросло на 15% (Рис. 9).

Рис. 9. Динамика изменений параметра "sna-me«в процессе лечения.
Аналогичную динамику, но уже на 5%, показал анализ параметра Pm/Pb (Рис. 10).

Рис. 10. Динамика изменений параметра Pm/Pb от анатомической нормы в процентах.
В то же время, параметр s-n-spm показал обратную динамику: число пациентов в зоне анатомической нормы после лечения снизилось на 25% (Рис. 11).

Рис. 11. Динамика изменений параметра s-n-spm.
Изучение динамики основной жалобы показало снижение ее уровня через 1,5 месяца после начала лечения на 41%, а через 3 месяца уже на 62% (Рис.16).

Рис. 12. Динамика изменения основной жалобы по субъективной оценке пациентов.
Субъективная оценка результатов лечения демонстрирует следующие показатели: 10% пациентов не отмечали изменений, 5% отметили ухудшение, 15% отметили незначительное улучшение, 45% — улучшение, 25% — значительное улучшение (Рис.13).

Рис. 13. Распределение субъективных оценок результатов лечения за период 3 месяца.
Выводы:
- Использование методики транскожной электронейростимуляции ветвей тройничного, лицевого и добавочного нервов для определения оптимального положения нижней челюсти и применение разобщающей зубные ряды каппы у пациентов с дисфункцией ВНЧС и парафункцией жевательных мышц оказало положительный терапевтический эффект в 85% клинических ситуаций.
- Изменение положения нижней челюсти приводит не только к уменьшению симптоматики или ее полному исчезновению, но также изменяет цефалометрические показатели как приближая, так и отдаляя их от нормальных значений.
- Оптимальное положение нижней челюсти, закрепленное с помощью разобщающей зубные ряды каппы, является основанием для последующей модификации окклюзии посредством ортодонтического и/или реставрационного лечения.
Список использованной литературы
- Булычева Е.А. Дифференцированный подход к разработке патогенетической терапии больных с дисфункцией височно-нижнечелюстного сустава, осложненной гипертонией жевательных мышц: Автореф. дис. ... д-ра мед. наук. — СПб.: ГОУ ВПО СПбГМУ им. акад. И.П.Павлова, 2010. — 31 с.
- Булычева Е.А. Обоснование психосоматической природы расстройств височно-нижнечелюстного сустава, осложненных парафункциями жевательных мышц, и их комплексное лечение // Стоматология. — 2007. — Т. 86, № 6. — С. 58-61.
- Ишмурзин П.В., Данилова М.А., Убирия Ю.И. Компенсация зубочелюстных аномалий, сочетанных с дисфункцией височно-нижнечелюстного сустава: оценка результатов лечения во временном аспекте // Институт Стоматологии. — 2012. — Т.55. — С. 40-41.
- Лопушанская Т.А., Войтяцкая И.В., Овсянников К.А. Диагностическая значимость компьютерной стабилометрии в клинике ортопедической стоматологии // Институт Стоматологии. — 2011. — Т.53, № 4. — С. 86-87.
- Пантелеев В.Д. Артикуляционные дисфункции височно-нижнечелюстных суставов. Часть 3 // Институт Стоматологии. — 2002. — № 3. — С. 52–54.
- Пономарев А.В., В.П.Потапов, В.М.Зотов, А.Е.Беззубов Комплексный подход к оценке состояния функциональной окклюзии у клинически здоровых людей // Маэстро стоматологии. — 2003. — № 4. — С. 50-52.
- Силин А.В., Сатыго Е.А., Семелева Е.И., Синицина Т.М. Изменение стандартизированных показателей поверхностной электромиографии жевательных мышц при использовании окклюзионных капп у пациентов с остеоартрозом височно-нижнечелюстных суставов // Институт Стоматологии. — 2011. — Т.62, № 1. — С. 60-61.
- Силин А.В. Проблемы диагностики, профилактики и лечения морфофункциональных нарушений в височно-нижнечелюстных суставах при зубочелюстных аномалиях: Дис. ... док-ра мед. наук: 14.00.21 / Силин Алексей Викторович; [Место защиты: ГОУДПО «Санкт-Петербургская медицинская академия последипломного образования»]. — Санкт-Петербург, 2007.
- Славичек Р. Жевательный орган. Функции и дисфункции. — Азбука. — 2008.
- Солдатова Л.Н. Возрастные особенности патологии височно-нижнечелюстного сустава и жевательных мышц: Автореф. дис. ... канд. мед. наук. — СПб., 2011. — 26 с.
- Фадеев Р.А., Кудрявцева О.А., Польщикова И.В. Выявление и подготовка к устранению окклюзионных нарушений у пациентов с дисфункциями височно-нижнечелюстных суставов // Институт Стоматологии; часть I — № 32, часть II — № 33. — 2006.
- Фадеев Р.А., Кудрявцева О.А. Особенности диагностики и реабилитации пациентов с зубочелюстными аномалиями, осложненными заболеваниями височно-нижнечелюстных суставов и жевательных мышц // Ж-ал Институт Стоматологии. — 2008. — Т.41. — С. 20-21.
- Фадеев Р.А., Мартынов И.В., Ронкин К.З., Емгахов А.В. Последовательность действий ортодонта при исправлении зубочелюстных аномалий, осложненных заболеваниями ВНЧС и парафункциями жевательных мышц // Институт Стоматологии. — 2014. — Т.66, № 1. — С. 52-53.
- Фадеев Р.А., Ронкин К.З., Мартынов И.В., Червоток А.Е., Применение метода определения положения нижней челюсти при лечении пациентов с частичной потерей зубов // Институт Стоматологии. — 2014. — Т.63, № 2 (63). — С. 32-35.
- Хватова В.А. Клиническая гнатология. — М.: Медицина, 2005. — 295 с.
- Цимбалистов А.В., Калмыкова Э.А., Синицкий А.А., Лопушанская Т.А., Войтяцкая И.В. Клинико-физиологическое обоснование применения чрескожной электронейростимуляции для лечения стоматологических больных с дисфункцией жевательной мускулатуры // Институт Стоматологии. — 2012. — Т.57. — С. 51-53.
- Щербаков А.С., Петрикас И.В., Буланов В.И., Загорко М.В. Изучение распространенности и диагностика функциональных нарушений ВНЧС у лиц молодого возраста // Ж-ал Институт Стоматологии. — 2013. — Т.58, № 1 (58). — С. 18-19.
- Chan C.A. Applying the neuromuscular principles in TMD and Orthodontics. J of the American Orthodontic Society, 2004.
- Jankelson, R.R.: Neuromuscular Dental Diagnosis and Treatment, Ishiyaku EuroAmerica, Inc. Publishers, 1990.