


Ольга Николаевна
В 1999 году окончила Санкт-Петербургский государственный медицинский университет им. академика И.П. Павлова по специальности «Стоматология».
В 2000 году окончила клиническую ординатуру по специальности «Ортодонтия» в Санкт-Петербургском государственном медицинском университете им. академика И.П.Павлова по руководством доцента Шулькиной Н.М.
Организация здравоохранения и общественное здоровье - декабрь 2024 г
Ортодонтия 05.10.2023
«Биомеханика, ортодонтические и эстетические концепции в ортодонтии» Доктора Савьера
«Лечение Damon системами (пассивное лигирование)» проф. Даймона
«Диагностика и лечение Damon системой» проф. А. Багдена
«Дисциплина Александера» проф. Александера
«Дисциплина Александера по глубокому прикусу» проф. Александера
«Микроимплантация. Анкораж в ортодонтии»
«Incognito». Сертификационный курс
«Orapix». Сертификационный курс
«Брекет-система Damon». Сертификационный курс
«Междисциплинарное лечение от сменного прикуса до взрослых пациентов» проф. Marco Rosa
В 2009 году заняла второе место на всероссийском конкурсе Стоматологической Ассоциации России на «Самый интересный клинический случай» — «Иду на компромисс» (диплом).
Участник ежегодных Ортодонтических симпозиумов «Forestadent» (сертификат 2010), (сертификат 2012), (сертификат 2013), ежегодных съездов ортодонтов России и ежегодных конференций клиники ДентИдеал.
В 2014 году проходила стажировку в клинике доктора Bjorna Ludwiga (Германия) и принимала участие во 2-й Международной Восточноевропейской Конференции «Междисциплинарные аспекты краниомандибулярных расстройств» (сертификат).
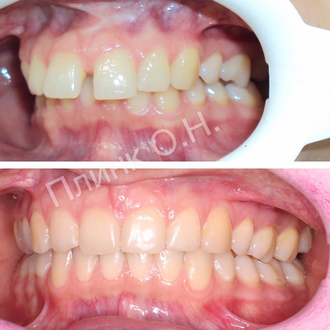
Пациент 30 лет.
Врач: Плинк Ольга Николаевна
Диагноз: мезиальный прикус, скученность зубов на верхней и нижней челюстях.
Лечение: брекет-система на две челюсти с удалением 18, 28, 38 и 48 зубов.
Срок лечения: 2 года и 2 месяца.
Пациент 49 лет.
Врач: Плинк Ольга Николаевна
Диагноз: дистальный глубокий травмирующий прикус. Адентия 15, 25, 36, 37, 46 и 47 зубов. Стираемость. Тремы и диастема на верхней челюсти. Дисфункция ВНЧС.
Лечение: подготовка к рациональному протезированию. Суставная шина. Брекет-система. Имплантация на нижней челюсти. Композитная реставрация верхних резцов.
Срок лечения: 1 год и 11 месяцев.
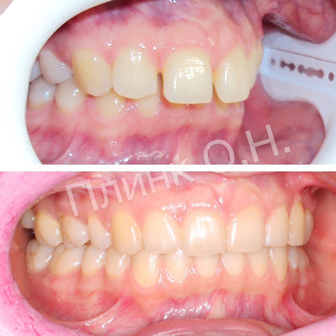
Пациент 30 лет.
Врач: Плинк Ольга Николаевна
Диагноз: дистальный глубокий травмирующий прикус, адентия 14 и 24 зубов.
Лечение: самолигирующая брекет-система на две челюсти, с удалением 18, 28, 38 и 48 зубов.
Срок лечения: 2 года и 1 месяц.
Пациент 15 лет.
Врач: Плинк Ольга Николаевна
Диагноз: нейтральный прикус. Дистопия 23 зуба. Ретенция 25 зуба. Медиальное смешение 26 и 27 зубов. Раннее удаление 65 зуба.
Лечение: брекет-система на две челюсти с удалением 24 зуба.
Срок лечения: 1 год и 11 месяцев.
Лечение: брекет-система на две челюсти с удалением 24 зуба.
Срок лечения: 1 год и 11 месяцев.
Пациент 6 лет.
Врач: Плинк Ольга Николаевна
Диагноз: дистальный глубокий травмирующий прикус. Скученность зубов.
Лечение: аппарат Френкля 1 тип.
Срок лечения: 4 года.
Лечение: аппарат Френкля 1 тип.
Срок лечения: 4 года.
Пациент 7 лет.
Врач: Плинк Ольга Николаевна
Диагноз: открытый прикус. Сужение верхней и нижней челюстей. Тесное положение зубов. Дистопия 13 и 23 зубов. Парафункция языка. Ретенция 18, 28, 38, 48 зубов.
Лечение: с удалением зачатков восьмых зубов, проводилось в два этапа:
1. Аппарат Френкля с заслоном для языка. Срок лечения: 2,5 года.
2. Брекет-система на две челюсти.
Срок лечения: 2 года.






















































